美しく輝く笑顔へ | 審美歯科セラミック治療

美しく輝く笑顔へ
審美歯科
セラミック治療

  • 見た目の
    審美性
  • しっかり噛める
    機能性
  • 審美歯科の
    講師在籍 
極限まで削らない審美歯科 | 貼るホワイトニング

極限まで削らない審美歯科
貼るホワイトニング

  • 削らない
    審美歯科
  • 体にやさしく
    白くする
  • 低コスト
笑顔を取り戻すお口全体の重度虫歯・歯周病治療

笑顔を取り戻すお口全体の
重度虫歯・歯周病治療

  • 1日で
    対応が可能
  • 無痛治療が
    可能
  • お口全体の
    美しさ

Contact

各種お問い合わせは下記よりお願いいたします。

患者様の 自信 と 笑顔

に貢献する

3つの審美歯科

ほぼ削らない審美歯科

貼るホワイトニング

歯を削らずに、自然な白さと美しさを手に入れられる「貼るホワイトニング」は、短期間で理想の笑顔を叶える審美治療です。透明感のあるセラミックを歯の表面に貼ることで、変色美しくカバー。まるで天然歯のような仕上がりで、人前に立つ機会が多い方にもおすすめです。痛みが少なく、歯へのダメージも最小限なので、安心してご相談いただけます。

  • 歯を
    削らない

  • 低コストで
    美しく

  • 自信を持った
    笑顔

症例1

Before

貼るホワイトニング症例01前

After

貼るホワイトニング症例01後
治療名
貼るホワイトニング(ジルコニアベニア)
年齢
30代
性別
女性
執刀医
Dr.遠山
治療期間
1ヶ月
費用
費用¥1,760,000(税込) ※16本
リスク
・歯をほぼ削らないため痛みや歯が小さくなるリスクはかなり少ない
・ホワイトニングの様に色の変色はほとんどない。薄いため脱離・破折のリスクはあり。

症例2

Before

貼るホワイトニング症例02前

After

貼るホワイトニング症例02後
治療名
貼るホワイトニング(ジルコニアベニア)
年齢
30代
性別
女性
執刀医
Dr.遠山
治療期間
1ヶ月
費用
¥800,000(税込) ※4本
リスク
・歯をほぼ削らないため痛みや歯が小さくなるリスクはかなり少ない
・ホワイトニングの様に色の変色はほとんどない。薄いため脱離・破折のリスクはあり。

白く美しい歯で、笑顔に自信を

審美歯科セラミック治療

自然で美しい口元を手に入れたい方には、審美歯科セラミック治療がおすすめです。金属を使用せず、天然歯に近い透明感をもつセラミック素材を使用するため、どの角度から見ても自然な輝きのある歯に仕上がります。また、変色や金属アレルギーの心配がなく、長期的に美しさを保つことができます。精密な治療計画のもと、一人ひとりの歯の形や色に合わせてオーダーメイドで作製するため、理想の笑顔を叶えることができます。

  • 自然な
    白さ

  • 変色
    しにくい

  • 金属
    不使用

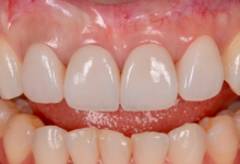
症例1

Before

セラミック治療症例01前

After

セラミック治療症例01後
治療名
ジルコニアクラウンによる審美補綴治療
年齢
60代
性別
女性
執刀医
Dr.高田
治療期間
根管治療含め2ヶ月程度
費用
¥187,000(税込)
リスク
・硬い食べ物で破折の可能性あり
・1歯だけの治療で完全に歯の色味をマッチングさせるのは限界あり

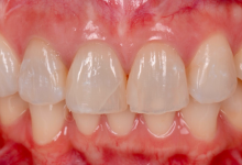
症例2

Before

セラミック治療症例02前

After

セラミック治療症例02後
治療名
ジルコニアセラミックによる審美歯科治療
年齢
30代
性別
女性
執刀医
Dr.遠山
治療期間
1ヶ月半程度
費用
¥880,000(税込)(4本)
リスク

バレずに歯並びを治す

マウスピース矯正

目立たずに歯並びを整えたい方には、マウスピース矯正がおすすめです。透明で薄い装置を使用するため、装着していても周囲に気づかれにくく、接客業や人前に出るお仕事の方でも安心して治療を受けられます。取り外しができるので、食事や歯磨きも普段通り。
見た目に配慮しながら、自然な笑顔と美しい歯並びを手に入れたい方にぴったりの矯正方法です。

  • 矯正装置が
    見えない

  • 痛みが
    少ない

  • 取り外しが
    可能

症例1

Before

After

治療名
年齢
性別
執刀医
治療期間
費用
リスク

症例2

Before

After

治療名
年齢
性別
執刀医
治療期間
費用
リスク

人間の目を越える デジタル正確精密性

  1. 01

    肉眼では見えない細部まで
    把握できる

    デジタル歯科で使用される口腔内スキャナーやCTは、肉眼では確認できない小さな虫歯の進行や歯のヒビ、歯ぐきの奥に隠れた病変などを、3D画像や高解像度のデジタルデータとして捉えることができます。これにより、見逃しのない診断と、より正確な治療計画の立案が可能になります。従来のレントゲンでは写らなかった部分も、立体的かつ高精度に把握できるのが大きな利点です。

  2. 02

    被せ物や詰め物が
    ピッタリ合う精密な仕上がり

    デジタル機器を使えば、歯の形を正確にスキャンし、そのデータを元にコンピューター上で補綴物(被せ物や詰め物)を設計します。そしてCAD/CAMシステムによって、高性能なミリングマシンが材料を精密に削り出すため、手作業では難しいレベルの高いフィット感を実現。ズレや隙間が少ないことで、むし歯の再発リスクも下げられ、見た目も自然で快適な仕上がりになります。

  3. 03

    治療結果を事前に
    「見える化」できる安心感

    矯正治療や審美治療では、治療後の歯並びや仕上がりの見た目を、シミュレーション画像や動画で事前に確認することができます。たとえば、「どんな歯並びになるのか」「前歯の形をどう変えるか」といったイメージを患者様と共有できるため、納得したうえで治療に進めます。これは、従来の「やってみないと分からない」治療への不安を大きく減らす画期的なメリットです。

Concept

美しく輝く笑顔で人生を変える

人生を変える、美しい笑顔へを理念に東京都練馬区の東京審美歯科では、
患者様一人ひとりの“理想の笑顔”を叶えるために、
見た目だけでなく心にも寄り添う歯科治療をご提供しています。
すきっ歯や歯の黄ばみ、ガタガタの歯並び…
鏡を見るたびに自信を失い、人前で笑えなくなっていませんか?

歯をほとんど削らず自然な白さを叶える「貼るホワイトニング」、
周囲に気づかれず整える「マウスピース矯正」、
不安なく眠っている間に終わる「静脈内鎮静法」など、
患者様の心に寄り添った多彩な選択肢をご用意。

さらに、デジタル機器による精密な診断と“治療結果の見える化”で、
納得と安心の治療を実現します。

美しく輝く笑顔は、あなたの人生を前向きに変えていきます。

Message

人生を変える、美しい笑顔

はじめまして。東京審美歯科 理事長の遠山 敏成です。
私たちは「人生を変える、美しい笑顔へ」という理念のもと、東京都練馬区の地で、見た目の美しさだけでなく、患者様の心にも寄り添う歯科治療を大切にしています。

「すきっ歯が気になる」「歯の黄ばみで笑えない」「歯並びに自信が持てない」──
そんなお悩みを抱えた方が、再び自然に笑えるようになること。それが私たちの願いです。

歯をほとんど削らずに白い歯を実現できる『貼るホワイトニング』、周囲に気づかれず歯並びを整える『マウスピース矯正』、不安なく治療を受けていただける『静脈内鎮静法』など、多彩な選択肢をそろえ、丁寧にご提案させていただきます。
また、最先端のデジタル技術によって、精密な診断と治療結果の“見える化”を実現し、ご不安のない治療環境を整えております。
「こんな歯で笑えない」と思っていた方が、「また笑えるようになった」と言ってくださる瞬間が、私たちにとって何よりの喜びです。

あなたの笑顔が変われば、きっと人生も変わります。どうぞお気軽にご相談ください。

理事長 遠山 敏成

  • 経歴

    • 日本大学歯学部 卒業
    • 日本大学歯学部付属歯科病院 勤務
    • 布川歯科医院 勤務
    • 石川歯科クリニック 勤務
    • 根本歯科医院 勤務
    • さいたま新都心デンタルクリニック 勤務
    • 個人医院で研鑽を積み、2006年マイスター春日歯科クリニック練馬 開院
  • 所属学会

    • 日本補綴学会
    • 日本歯科理工学会
    • 接着歯学会
  • その他

    • 「日本顎咬合学会学術大会」において優秀発表賞を受賞。
    • 顎を鍛え、小顔効果も得られる「アゴたんストッチ」を発案。

Information

東京審美歯科

診療時間
10:00~13:00
14:30~18:30
▲木曜日・・・10:00~14:00
★日曜日・・・9:00~13:00/14:00~18:00
所在地
〒179-0074
東京都練馬区春日町3丁目29−8 3F
電話番号
03-6768-6480
最寄駅
都営大江戸線「練馬春日町駅」 A1出口より 徒歩2分

練馬区の地と提携し患者さん満足度向上の取り組み

東京都練馬区とともに歩む、信頼される歯科医院を目指して、東京審美歯科では、東京都練馬区という地域に根ざし、患者様に安心と信頼の医療をお届けするための取り組みを大切にしています。
その一環として、私たちは第三者機関であるNPO法人日本歯科医療評価機構に依頼し、患者様満足度調査を定期的に実施しています。

このアンケートは、日々の診療に対する患者様の率直なお声をいただくことで、院内のサービスや治療体制をより良いものへと進化させていくための大切な指標です。
特に審美歯科においては、見た目の美しさだけでなく、患者様の「心から笑える笑顔」をつくることが重要です。皆様のご意見を真摯に受け止め、改善に反映してまいります。
アンケートは匿名で行われ、個人情報が医院に伝わることは一切ありません。どうぞご安心のうえ、ご協力をお願いいたします。
調査結果は、当院ウェブサイト内の「第三者機関による患者様アンケート結果」よりご確認いただけます。

日本歯科医療評価機構

日本歯科医療評価機構について

「日本歯科医療評価機構」は、患者様が安心して信頼できる歯科医院を見つけられるよう支援するための非営利組織です。「どの歯医者を選べば良いのか分からない」「診療時間や立地条件だけでなく、信頼できる歯科医院に通いたい」という声に応え、厳正な評価を基に歯科医院を認定しています。この機構の存在により、患者様が安心して通える歯科医療の提供が可能になっています。
広尾麻布歯科では、患者様一人ひとりが安心して通院できる環境づくりに努め、信頼と満足をお届けしクチコミ・評判・おすすめされる歯科医療を目指しています。

Information

患者様の笑顔美しさ

を心の底から追求する

6つの特徴

審美歯科セラミック治療を検討されている多くの方が抱えるのは、「本当にきれいになるの?」「痛くない?」「何回通うの?」というような、見た目だけではない“リアルな不安や期待”です。東京審美歯科では、そんな患者様の声に耳を傾け、一人ひとりの理想に寄り添った治療をご提供しています。

  • Reason01

    自然で美しい
    仕上がり

  • Reason02

    削らない
    安心設計

  • Reason03

    厳選した
    素材使用

  • Reason04

    少ない通院
    で完結

  • Reason05

    安心の
    静脈内鎮静

  • Reason06

    見える
    治療計画

  • Reasons01

    まるで本物。
    自然で美しい仕上がりを追求

    「白くてきれいな歯にしたいけれど、不自然な見た目にはなりたくない…」そんな方にこそ、セラミック治療はおすすめです。当院では、透明感・色味・形のバランスにこだわり、隣の歯と違和感のない“自然で調和のとれた美しさ”を実現します。人と話す時、写真を撮る時、自信を持って笑えるあなたへ。

  • Reasons02

    健康な歯を守る。
    できるだけ削らない安心設計

    「歯を削るのが怖い」「できる限り歯は残したい」当院では、歯を守ることを第一に考え、必要最小限の削合で済む低侵襲なセラミック治療を導入しています。さらに、“歯を削らずに貼るだけ”のラミネートベニアにも対応。健康な歯をなるべく残しながら、美しい口元へ導きます。

  • Reasons03

    長く使える安心を。
    丈夫で変色しにくい素材選び

    「高い治療なのにすぐダメになるのは嫌…」そんな声に応えるために、当院では厳選した高耐久・高品質のセラミック素材を使用しています。変色しにくく金属を一切使用しないため、金属アレルギーの心配もありません。長く、快適に、美しく。そんな安心をお届けします。

  • Reasons04

    忙しいあなたに。
    短期間・少ない通院で完結

    「何度も通うのは大変」「できれば早く終わらせたい」そんなご要望にもお応えするために、東京審美歯科では1日で完了するセラミック治療(即日修復)にも対応。口腔内スキャナーや院内技工の連携により、スピーディーかつ高精度な治療を実現します。遠方からお越しの方や、お忙しい方にも選ばれています。

  • Reasons05

    治療が怖い方へ。
    眠っている間に終わる安心治療

    「治療中の痛みや緊張が怖い」「嘔吐反射があるので不安…」そんな患者様には、静脈内鎮静法(点滴麻酔)をおすすめしています。ウトウトと眠っているような状態で、気づいたら治療が終わっている──そんな痛みや恐怖心を感じにくい環境を整えています。

  • Reasons06

    治療後の後悔を防ぐ。
    見える治療計画で納得の結果へ

    「やってみたら思っていた見た目と違ったらどうしよう…」東京審美歯科では、事前に治療後の見た目を3Dシミュレーションで“見える化”し、患者様と一緒に仕上がりのイメージを共有します。納得したうえで治療をスタートできるから、不安なく理想のゴールを目指せます。

FAQ

A 審美歯科は、単なる虫歯や歯周病の治療ではなく、「見た目の美しさと機能性を両立すること」を目的とした歯科治療の一分野です。歯の色や形、すき間、歯並び、歯ぐきの見え方まで含めてトータルに整えることで、笑顔に自信を持てるようサポートします。「写真で笑えない」「口元を隠してしまう」などのお悩みも、審美歯科によって改善が期待できます。
A セラミックは陶器素材を用いた美しく耐久性に優れた人工歯で、天然歯に近い透明感と色味が魅力です。一方、保険診療で使われるプラスチックや銀歯は変色や劣化が起きやすく、強度や見た目に差があります。審美性と機能性を求める方には、変色しにくく長期的に美しさを保てるセラミックがおすすめです。
A 一般的には、型取りから装着まで1ヶ月〜1.5ヶ月程度が目安です。ただし、歯の根の治療や歯周病の進行がある場合は、その処置が先に必要となるため、期間が延びる可能性があります。当院では、患者様のご希望やライフスタイルを考慮し、最適なスケジュールをご提案いたします。
A セラミックは摩耗や変色に強く、正しいケアとメンテナンスを行えば10年以上使用されているケースも多くあります。寿命を左右するのは、噛み合わせ、歯ぎしり、清掃状況です。当院ではナイトガードの使用や定期検診を推奨し、長く安心して使っていただけるようサポートしています。
A 実は、どんなに精密な被せ物でも、磨き残しやケア不足があると、歯と被せ物の境目から虫歯になることがあります。セラミックも銀歯も、口の中の環境次第で虫歯・歯周病のリスクがあるため、日々の丁寧な歯磨きと、プロによる定期的なチェックがとても重要です。
A はい、前歯のすきっ歯は審美歯科で改善が可能です。歯を削らずにセラミックを貼り付ける「ラミネートベニア」、レジンで形を整える「ダイレクトボンディング」、あるいは部分矯正など、症状に応じた選択肢があります。審美性はもちろん、機能的にも快適に整えることが可能です。
A 神経を失った歯は内側から変色していくことがありますが、審美治療で改善が可能です。歯の中を漂白する「ウォーキングブリーチ」、セラミックでカバーする「ベニア」や「クラウン」など、ご希望や歯の状態に応じた方法をご提案します。自然な色味に戻したい方はぜひご相談ください。
A 金属の土台(メタルコア)が歯ぐきに与える影響で、金属イオンが溶け出し、黒く変色することがあります。当院では金属を使わず、自然な色合いで変色リスクの少ない「グラスファイバー製の土台(ファイバーコア)」を使用しており、見た目にも安心です。
A 歯のクリーニング(PMTC)は、歯石・歯垢・着色汚れを取り除いて本来の歯の色に戻す処置です。一方、ホワイトニングは歯の内部の色素に作用し、自然な白さ以上にトーンアップする方法です。目的が異なるため、理想の白さや状態に応じて使い分けることが大切です。
A はい、当院では“審美インプラント”として、周囲の歯や歯ぐきとの調和まで重視した治療を行っています。特に前歯部では、骨や歯ぐきの厚み、ラインを考慮し、セラミックの色や形も丁寧に調整。機能性だけでなく、見た目にも自然で美しい仕上がりを目指します。

About us

東京審美歯科がある東京都練馬区は、都心へのアクセスと豊かな自然が調和した、暮らしやすい住宅街です。特にファミリー層に人気で、その魅力は多岐にわたります。最大の特長は、東京23区内でも有数の緑の多さです。石神井公園や光が丘公園など広大な公園が点在し、自然の中でリフレッシュできる環境が魅力です。交通アクセスも良好で、都営大江戸線、西武池袋線、東京メトロ副都心線など複数路線が利用でき、池袋や新宿へ約15〜20分と通勤・通学に非常に便利です。また、練馬区は子育て支援や医療環境が充実しています。認可保育園の整備や子育て支援センターが充実し、病院やクリニックも多く安心して暮らせます。自然、交通、子育て支援、文化が揃うこの東京都練馬区で、審美歯科セラミック治療を専門に行い多様な健康溢れる美しい笑顔を作って行きます。

Contact

各種お問い合わせは下記よりお願いいたします。

ホームページの運営と情報発信について

練馬区の歯医者・歯科の東京審美歯科では、東京都練馬区で審美歯科治療を提供する医院として各治療分野に精通した歯科医師が在籍しており、専門的かつ信頼性のある医療情報の発信を大切にしています。当院のホームページに掲載するすべてのコンテンツは、医師による監修のもとで作成されており、患者様が安心してご来院いただけるよう、正確で分かりやすい情報の提供に努めております。

また、当院は医療法に基づく「医療広告ガイドライン」を厳格に遵守しております。虚偽や誇大表現を排除し、実際の診療内容や実績に基づいた誠実な情報発信を行うことで、患者様との信頼関係の構築を目指しています。
私たちは、透明性と倫理性を重視したホームページ運営を通じて、皆様にとって有益で信頼できる医療情報をお届けしてまいります。